L’orthodontie en quelques mots


L’orthopédie dento-faciale, communément appelée
« orthodontie », est la spécialité consacrée à l’étude et au traitement des anomalies de la position des dents. L’orthodontie permet ainsi de corriger les malpositions dentaires et les déformations des maxillaires afin de retrouver une denture fonctionnelle et esthétique.


Orthodontie

Les traitements orthodontiques permettront d’apporter une meilleure qualité de vie, en améliorant l’esthétisme du sourire, mais également la mastication, la déglutition ou encore la respiration.


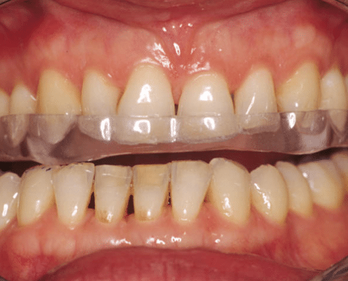
L’occlusodontie en quelques mots

Dans les cas de bruxisme (grincement des dents essentiellement nocturne), nous réalisons des gouttières pour éviter une usure importante et prématurée des dents et l’altération des articulations de la mâchoire (douleurs, craquements, et claquements).

Occlusodontie Occlusodontie 2